青岛垚鑫智能科技有限公司
宣传

位置:中冶有色 >

有色技术频道 >

分类:
全部
矿山技术
冶金技术
材料制备及加工技术
环境保护技术
分析检测技术
地区:
全部
北京
天津
上海
重庆
河北
山西
辽宁
吉林
黑龙江
江苏
浙江
安徽
福建
江西
山东
河南
湖北
湖南
广东
海南
四川
贵州
云南
陕西
甘肃
青海
内蒙
广西
西藏
宁夏
新疆
其他
其他
展开
 
全部
南京
无锡
徐州
常州
苏州
南通
连云港
淮安
盐城
扬州
镇江
泰州
宿迁

江苏无锡有色金属理论与应用

免费发布技术信息>>
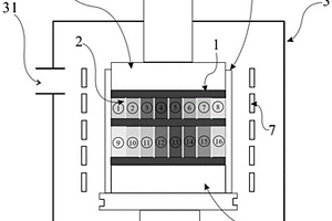
高通量制备块体的装置、系统和方法

本发明涉及烧结技术领域,特别涉及一种高通量制备块体的装置、系统和方法。一种高通量制备块体的装置,包括多个层间压板和多个层内挡片;所述层间压板的制备材料包括耐高温硬质合金、石墨和碳/碳复合材料中的至少一种;所述层内挡片的制备材料包括耐高温塑性合金和金属钛中的至少一种;所述层间压板为板状,所述层内挡片为片状,所述层内挡片设置于两个所述层间压板之间并与层间压板配合形成多个封闭空间,所述封闭空间用于装填粉末。本发明实施例提供了一种高通量制备块体的装置、系统和方法,能够通过一次烧结处理得到多个块体,且块体尺寸控制较为良好,表面质量好,而且即使在边角处的样品也不存在明显的缺陷,样品之间易于拆开。

标签:
复合材料
江苏 - 无锡 来源:中冶有色网 2023-03-18
相变导热结构件及其制备方法

本发明属于相变导热复合材料技术领域,具体涉及一种相变导热结构件及其制备方法。所述相变导热结构件包括:A组分和B组分;所述A组分包括相变混合颗粒粉体,偶联剂,基体硅橡胶;所述B组分包括固化剂,分散剂,催化剂。本发明的有益效果是,对成本较低的相变粉体进行表面改性,然后用具有微观孔洞结构的物质对其进行吸附半固定,制成混合颗粒粉体,然后用有机硅橡胶对其进行包覆固化制得而成,从而达到兼具柔软性和低成本的双重目的。

标签:
复合材料
江苏 - 无锡 来源:中冶有色网 2023-03-18
锂电池高镍正极无机化合物包覆方法

本发明公开了一种锂电池高镍正极无机化合物包覆方法,采用低温原位方法在高镍正极表面形成碳化硅层,在氟化硅自由基的诱导情况下,高镍外层中的碳原子与氟成键形成高电负性的碳化硅纳米层,层厚6‑8nm,可以有效降低Ni2+在Li+层的混排,从而提高高镍的循环性能。本发明适用于表面纳米层的合成,该方法操作简单易行,副产物为水是环保型的,在工业中可大量推广使用。该发明制备的复合材料可用于制备高容量电池领域。

标签:
复合材料
江苏 - 无锡 来源:中冶有色网 2023-03-18
用于柔性传感器的压电基材及其制造工艺

本发明公开了一种用于柔性传感器的压电基材,用于柔性传感器的打印,包括以下以重量份数计的原料:作为基质材料的铁电聚合物100重量份;作为填料的陶瓷颗粒80‑90重量份;作为电极材料的银油墨20‑30重量份;作为铁电聚合物的表面活性剂50‑60重量份。本发明公开的一种用于柔性传感器的压电基材,其通过选择特定的压电聚合物作为复合材料的基质材料,并且通过表面活性剂使得陶瓷颗粒和共聚物之间的作用力增强,直接增强陶瓷颗粒与基质材料之间的耦合,从而改善填料的分布和更高的分解电场,从而增强团聚、空隙和电性能。

标签:
复合材料
江苏 - 无锡 来源:中冶有色网 2023-03-18
无催化剂合成碳化钽纳米晶须及制备方法

本发明涉及一种无催化剂合成碳化钽纳米晶须及制备方法,该方法生产工艺不借助催化剂,无金属杂质引入,TaC纳米晶须具有高纯度。同时,所需要的生产设备简单,工艺过程简单,参数易于控制,可靠性和重复性好,易于实现规模化生产。本发明工艺方法制备的TaC纳米晶须具有高纯度、大长径比(125‑2000)的明显优点,因而具有较高的比强度,可作为一种理想的纳米增强体应用于各种复合材料中,以显著提高材料的强度与抗热震性,也可提高其导电性能。

标签:
复合材料
江苏 - 无锡 来源:中冶有色网 2023-03-18
水性环氧湿固化耐酸碱涂料及其制备方法

本发明涉及涂料技术领域,具体公开一种水性环氧湿固化耐酸碱涂料及其制备方法。所述涂料包括如下组分:双重改性耐酸碱环氧树脂乳液、羧酸香草醇酯类辣椒素酯、防腐增强复合材料、气相二氧化钛、分散剂、增韧树脂分散料、锌粉、铝粉、增稠剂、速干剂、流平剂、润湿剂、第一去离子水和聚二甲基硅氧烷乳液。本发明提供的水性环氧湿固化耐酸碱涂料通过各组分之间的协同作用,显著提升了现有涂料的耐酸性、耐碱性、柔韧性、附着力、耐湿热、耐水性和耐盐雾性,实现了潮湿基面高湿环境下固化,预防了泛碱现象,阻止了腐蚀介质的进入,防止了金属构筑物和钢筋的腐蚀,对防止建筑群体结构破坏、维护建筑设施耐久性具有重要意义。

标签:
复合材料
江苏 - 无锡 来源:中冶有色网 2023-03-18
基于功能改性橡胶的高弹性防水涂料及其制备方法与应用

本发明公开了一种基于功能改性橡胶的高弹性防水涂料及其制备方法与应用,属于聚合物基功能复合材料技术领域。基于功能改性橡胶的高弹性防水涂料,包括以下重量份数的原料:聚合物乳液30~40份、功能改性橡胶5~15份、填料30~40份、分散剂0.5~2份、消泡剂0.5~2份、杀菌防霉剂1~2份、增稠剂0.5~2份、溶剂10~20份。通过优化调控原料配比和组成可以制备的性能各异的基于改性橡胶高弹性防水涂料,满足不同应用领域的修补、堵漏及防护需求。

标签:
复合材料
江苏 - 无锡 来源:中冶有色网 2023-03-18
TiC金属陶瓷颗粒增强复合耐磨磨辊及其制备工艺

本发明公开了一种TiC金属陶瓷颗粒增强复合耐磨磨辊及其制备工艺,本发明中TiC金属陶瓷颗粒与铁基体的熔融润湿角小于30o,与铁基润湿性良好,复合材料中不易产生气孔;TiC金属陶瓷颗粒与合金基体的热膨胀系数接近,化学键极性相似,因此与基体的结合强度高,使用过程中不易脱落。TiC金属陶瓷颗粒中含10‑30 wt%的铁合金作为粘接相,其断裂韧性超过8 MPa·m1/2,显著高于ZTA,可应用于有较高挤压或冲击载荷的工况。

标签:
复合材料
江苏 - 无锡 来源:中冶有色网 2023-03-18
硫改性的MOF衍生金属掺杂多孔碳材料及其制备方法和应用

本发明涉及复合电极材料技术领域,针对传统MOF衍生金属掺杂多孔碳材料存在2e‑ORR反应的问题,提供一种硫改性的MOF衍生金属掺杂多孔碳材料及其制备方法,先配制含有金属盐和2‑甲基咪唑的混合溶液,所述金属盐的金属离子包括Co2+、Cu2+、Zn2+,反应得到CoCuZn‑MOF前驱体;然后退火处理得Cu‑Co‑N4衍生碳基复合材料,即MOF衍生金属掺杂多孔碳材料;接着进行硫化处理,引入硫元素。本方法原料易得、操作简单,对设备无特殊要求、易于产业化。本发明还提供硫改性的MOF衍生金属掺杂多孔碳材料在锌空气电池中的应用。

标签:
复合材料
江苏 - 无锡 来源:中冶有色网 2023-03-18
富勒烯掺杂高规整度的碳纳米纤维及其制备方法与应用

本发明属于高性能纤维及制备和复合材料领域,涉及富勒烯掺杂高规整度的碳纳米纤维及其制备方法与应用,主要是将富勒烯材料作为碳质元素添加剂用于碳纳米纤维的制备,具体地,将丙烯腈与碳质元素添加剂通过水相沉淀聚合形成碳质元素添加剂与聚丙烯腈复合的前体原料,将前体原料依次进行纺丝、热牵伸、预氧化、碳化、石墨化获得富勒烯掺杂高规整度的碳纳米纤维;所述碳质元素添加剂为富勒烯材料。本发明能够防止碳质元素添加剂的团聚,减少碳纳米纤维的缺陷,且能够使复合碳纳米纤维具有较高的强度和韧性、质轻、热稳定性优异。

标签:
复合材料
江苏 - 无锡 来源:中冶有色网 2023-03-18
EVA软木弹性体材料及其制备方法和应用

本发明提供了一种EVA软木弹性体材料,以重量份计,利用包括以下物料的原料制备得到:EVA 100份;软木粉8~25份;发泡剂2~5份;硬脂酸1~5份;氧化锌1.0~3.0份;硬脂酸锌1.0~3.0份;无机粉填料10.0~30.0份;增容剂0.5~3.0份;交联剂0.3~0.9份;增塑剂0.5~15份。本发明提供的EVA软木弹性体材料,软木粉在EVA基体中分散均匀,使复合材料的流动性得到改善,可以采取注射成型的方式一次性发泡成型得到EVA软木鞋材,且得到的鞋材发泡均匀,外观美观,密度小,回弹性好,具有良好的吸湿和疏水特点,止滑性能得到明显提高,而且材料可实现降解。本发明还提供了一种EVA软木弹性体材料的制备方法和应用。

标签:
复合材料
江苏 - 无锡 来源:中冶有色网 2023-03-18
破碎围岩巷道速凝双液注浆加固材料及制备方法

本发明涉及一种破碎围岩巷道速凝双液注浆加固材料及制备方法,采用聚氨酯/水玻璃双液注浆材料,邻苯二甲酸二丁酯以及在聚氨酯聚合过程中产生的二氧化碳均可以促进水玻璃原位生成凝胶细小颗粒,并加入了纳米碳纳米管使得可注性强,更容易注入到细小裂缝中,毒性低更适合煤体注浆,所提供的将碳纳米管嵌套有纳米二氧化硅的复合材料加到浆料中,不仅仅使固结体更加密实,还能够提高材料的力学性能和耐久性;通过酸处理的过程对纳米无机材料进行表面改性使其与浆料有更好的相容性提高其分散性能,还能中和催化剂的弱碱性使得聚氨酯的保存时间更长。

标签:
复合材料
江苏 - 无锡 来源:中冶有色网 2023-03-18
基于RGO-CMCS-Hemin/Pd NPs电化学传感器检测GPC3的方法

一种基于RGO‑CMCS‑Hemin/Pd NPs电化学传感器检测GPC3的方法,采用电沉积技术将Au NPs修饰在SPE表面,通过静电吸附作用将RGO‑CMCS‑Hemin/Pd NPs复合材料负载在Au NPs/SPE表面,再将EDC/NHS活化剂孵育在电极表面,随后将GPC3适配体修饰在RGO‑CMCS‑Hemin/Pd NPs/Au NPs/SPE电化学适配体传感器。利用电活性物质Hemin中铁离子的电子转移产生电流信号,GPC3的加入,蛋白与适配体特异性结合影响了电子传递速率,采用电化学工作站的DPV进行扫描,记录其电流响应峰值,绘制工作曲线,实现对GPC3的高灵敏检测。该方法操作简便、耗时短、检测费用低,最低检测限为9.898 ng/mL。

标签:
复合材料
江苏 - 无锡 来源:中冶有色网 2023-03-18
水性环氧树脂涂料及其制备方法

本发明涉及一种水性环氧树脂涂料,包含以下组分:A)包含一种水性环氧树脂乳液的主剂,所述主剂还包含硅烷偶联剂改性的木质纤维;B)一种固化剂,其中,基于组分A)的重量计,组分B)的量为5.0至25.0重量%,优选为7.5至20.0重量%,更优选为10.0至15.0重量%;还涉及制备含有硅烷偶联剂改性的水性环氧树脂涂料的方法。该水性环氧树脂涂料可以避免排放有机溶剂的排放,同时对碳纤维复合材料具有改进的附着力。

标签:
复合材料
江苏 - 无锡 来源:中冶有色网 2023-03-18
柔性可充电准固态镍-铁电池的制备方法

本发明公开了一种柔性可充电准固态镍‑铁电池的制备方法,涉及电池新能源纳米技术领域,该制备方法为:所述准固态镍‑铁电池以水凝胶聚合物为电池隔膜和电解质的基体材料,利用柔性碳纤维布和钴基金属有机框架衍生物的结合物(NC/CTs)作为电极自支撑集流体和活性材料负载体,然后在NC表面直接生长Ni(OH)2纳米片和ɑ‑Fe2O3纳米棒,分别作为正、负极,最后将两个自支撑柔性电极与固态电解质一起精组装成准固态镍‑铁电池。本发明通过在柔性碳纤维布上生长电化学活性无机纳米复合材料,可以得到高容量、尺寸及形貌可控的正负电极,采用聚合物水凝胶作为电解质和隔膜,进而组装成准固态柔性镍‑铁电池。

标签:
复合材料
江苏 - 无锡 来源:中冶有色网 2023-03-18
新型碳化钛-铁镍铬硅热喷涂粉末及其制备方法

一种新型碳化钛‑铁镍铬硅热喷涂粉末及其制备方法,属于表面工程技术领域。粉末成分以质量计:TiC占50~75%,FeNiCrSi占25~50%;在FeNiCrSi中:Cr13~18%,Ni6.7~20%,Si1~2.5%,B≤0.5%,Fe余量。Ni的添加保持了Cr在铁基体中的稳定性,避免喷涂过程中Cr元素的析出,提高了材料的耐腐蚀性能;添加适量的Si,可以抑制TiC的溶解,保持涂层的硬度和韧性,同时提高复合材料的耐腐蚀性;添加少量的硼,有助于拓宽喷涂工艺窗口。该成分粉末提升了TiC金属陶瓷涂层的耐腐蚀性能,耐中性盐雾腐蚀时间大于96小时。本发明有助于实现TiC涂层取代WC涂层,降低喷涂成本。

标签:
复合材料
江苏 - 无锡 来源:中冶有色网 2023-03-18
可降解压延合成纸
可降解压延合成纸 1141     
 0

本发明公开了一种可降解压延合成纸,具体的是一种聚丙烯/改性嵌段聚乳酸/聚羟基脂肪酸酯/淀粉复合材料及其制备方法,具体包括聚丙烯‑丁烯‑乙烯基降冰片烯三元共聚物30‑40%;聚乳酸‑丁二酸‑聚丙二醇嵌段共聚物20‑30%;聚3‑羟基戊酸酯15‑25%;酸酐改性淀粉10‑20%;任选的助剂0‑10%。该可降解压延合成纸具备一定的可降解性,并具有良好的拉伸强度和断裂伸长率。

标签:
复合材料
江苏 - 无锡 来源:中冶有色网 2023-03-18
河湖疏浚底泥资源化利用方法

本发明涉及一种河湖疏浚底泥资源化利用方法,包括以下步骤:S1、脱水处理:向疏浚底泥中加入制备的共价键型复合絮凝剂@Fe3O4,搅拌混合均匀进行混凝,自然沉降后,去除上覆水,得到絮凝脱水的底泥;S2、堆肥处理:将絮凝脱水后的底泥,加入制备的羟基磷灰石/雪硅钙石@Fe3O4复合材料,进行好氧堆肥使堆肥产物达到腐熟度要求;S3、后处理:将堆肥后的产物风干,进行磁选分离,剩余的腐殖物质与其他辅料配制成育苗基质。相较于疏浚底泥传统直接进行堆肥,本方法克服了疏浚底泥脱水预处理难度大、因重金属含量高而产品质量难以达标的难题,堆肥产物重金属可满足《绿化用有机基质》用于封闭林地、高速公路或造林等绿化种植用有机质的标准值。

标签:
复合材料
江苏 - 无锡 来源:中冶有色网 2023-03-18
多功能改性二硫化钼纳米添加剂的制备方法

本发明涉及一种多功能改性二硫化钼纳米添加剂的制备方法,包括以下步骤:步骤1:合成木质纤维素;步骤2:合成木质纤维素/MoS2复合纳米颗粒;步骤3:合成木质纤维素/MoS2‑Ag纳米复合材料得到多功能改性二硫化钼纳米添加剂。本发明提供了一种多功能改性二硫化钼纳米添加剂的制备方法,在切削液中添加该多功能改性二硫化钼纳米添加剂能够使得润滑性能、杀菌性能和缓蚀性能得到显著提升。

标签:
复合材料
江苏 - 无锡 来源:中冶有色网 2023-03-18
防腐型Ti基阳极电极材料及其制备方法与应用

本发明提供一种防腐型Ti基阳极电极材料以及其在电化学还原水中硝酸盐方面的应用。本发明通过原位聚合法制备氧化石墨烯/聚苯胺复合物,然后将制备的氧化石墨烯/聚苯胺复合物涂覆到Ti电极片上,烘干;最后,采用旋涂的方式在氧化石墨烯/聚苯胺/Ti极片表面涂覆BTA层,最终形成BTA改性氧化石墨烯/聚苯胺/Ti极片。本发明采用BTA改性氧化石墨烯‑聚苯胺复合材料,既具备较大的比表面积、耐高温、耐腐蚀和高强度,又具有良好的导电性能,可应用于电化学催化、防腐材料、导热材料、锂离子电池、超级电容器和军用航天材料等领域。

标签:
复合材料
江苏 - 无锡 来源:中冶有色网 2023-03-18
防紫外线节能隔热玻璃及其智能生产线

本发明公开了防紫外线节能隔热玻璃及其智能生产线,包括下玻璃板和PVC透明胶片与上玻璃板,所述下玻璃板的内侧开设有凹型腔,所述凹型腔外侧的边缘处设有凸起边,所述凹型腔的内侧均匀涂设有纳米透明隔热涂层,所述上玻璃板的内侧开设有与凸起边卡合适配的凹槽,所述凹槽的内侧铺设有透光隔热膜层,所述下玻璃板和上玻璃板的外侧涂设有抗紫外线涂层;本发明通过下玻璃板和上玻璃板之间的凹型腔与凹槽组合形成具有隔热特性的空腔层,并利用空腔层内的纳米透明隔热涂层和透光隔热膜层的结构配合,促使该玻璃得到多层复合材料的拼装体系,增加玻璃内层处的密封性和隔热及保温特性。

标签:
复合材料
江苏 - 无锡 来源:中冶有色网 2023-03-18
二氧化碳高温捕集和原位转化为合成气的系统及方法

本发明公开了一种二氧化碳高温捕集和原位转化为合成气的系统及方法,其中系统包括气体输送和切换单元、吸附和转化塔、换热单元。其中,气体输送和切换单元包括分别输送高温烟道气和氢气的气泵、以及设置在所述吸附和转化塔上的多个流量调节阀门;吸附和转化塔内填充有具备吸附和催化双功能复合材料,在一定压力、相同温度下完成二氧化碳的吸附和原位转化;换热单元包括分别与吸附和转化塔对应的换热器和预热氢气的换热器,将高温烟道气进口温度控制在600~800℃的目标吸附温度,将吸附后的高温低碳烟气降温至50‑60℃的排放温度,将氢气预热,将二氧化碳还原转换后的高温合成气降温至50‑60℃储存,同时补充转化反应过程所需热量。

标签:
复合材料
江苏 - 无锡 来源:中冶有色网 2023-03-18
高吸附性能材料的制备方法、产品及应用

本发明公开了一种高吸附性能材料的制备方法、产品及应用,其中制备方法包括以下步骤:制备碳源、研磨焙烧、碱浸、活化焙烧、水洗、酸处理脱金属、洗涤干燥;实现具有较大比表面积,且有序介孔、微孔在同一碳材料体系中的构筑,具有微孔及介孔两种类型孔道分布,材料既有微孔材料高水热稳定性又有介孔材料大孔径的孔道优势,即可用于吸附石化行业小分子有机废气又可用于吸附大分子物质。本发明制备了一种高吸附性能、多级孔道复合材料的同时,提供了对煤重油共炼尾渣的回收再利用的方法。

标签:
复合材料
江苏 - 无锡 来源:中冶有色网 2023-03-18
高致密化SiCf/SiC包壳复合管材的制备方法

本发明公开了一种高致密化SiCf/SiC包壳复合管材的制备方法,包括以下步骤:S1:制备低密度SiCf/SiC预制体:以编织或缠绕成SiC纤维管,然后通过CVI工艺在纤维表面进行PyC界面层沉积及短时间SiC基体沉积,获得低密度SiCf/SiC预制体;S2:制备SiCf/SiC坯体:将纳米SiC烧结粉体和有机添加剂分散在有机分散剂中制成NITE‑SiC浆料,通过浸渗使NITE‑SiC浆料扩散进低密度SiCf/SiC预制体的孔隙之中,干燥后获得SiCf/SiC坯体;S3:热处理:将SiCf/SiC坯体在惰性气体气氛保护下进行脱胶热处理;S4:热等静压烧结:将热处理后的坯体在惰性气体气氛下,气相加压烧结,获得高致密化SiCf/SiC包壳复合管材。通过该制备方法不仅能够获得致密度高的SiCf/SiC包壳复合材料,且解决了SiCf/SiC管件成型难的问题。

标签:
复合材料
江苏 - 无锡 来源:中冶有色网 2023-03-18
使用双阶柔和混炼机的超高分子量聚乙烯纤维冻胶纺丝方法及双阶柔和混炼机

本发明提供了一种使用双阶柔和混炼机的超高分子量聚乙烯纤维的冻胶纺丝方法及双阶柔和混炼机,该方法将超高分子量聚乙烯纤维纺丝原液在双阶柔和混炼机中共混挤出,由于双阶柔和混炼机具有柔和捏炼和能够在低于常规螺杆挤出机温度下对纺丝浆料进行混炼,有效降低了纺丝温度,从而提升了超高分子量聚乙烯纤维湿法工艺纺丝的强度。同时,本发明采用的双阶法,螺杆挤压温度低可以配备多种低温复合材料,使超高分子量聚乙烯纤维品种多样化。

标签:
复合材料
江苏 - 无锡 来源:中冶有色网 2023-03-18
耐压PCB电路板
耐压PCB电路板 764     
 0

本发明公开了一种耐压PCB电路板,所述耐压PCB电路板由多层耐高压薄膜材料表面处理后多层叠板、压合形成。本发明解决现有技术中采用环氧树脂润玻璃布热固化后形成的复合材料作为电路基材的耐压能力不高问题,使PCB在更薄的介质厚度的条件下达到更优的耐压性能。

标签:
复合材料
江苏 - 无锡 来源:中冶有色网 2023-03-18
新型复合吸塑或吹塑片材结构及其工艺方法

本发明涉及包装片材技术领域,其公开了一种新型复合吸塑或吹塑片材结构及其工艺方法,解决了目前包装领域所需的多模具、同步化、高稳定性加工性能、多色彩的高印刷性能、内层热封性能和材料阻隔性能的多要求兼顾,依旧未找到合适的复合层数及不同复合材料的组合的技术问题,包括面层、第一粘接层、中间层、第二粘接层和内层,所述面层配置为聚对苯二甲酸乙二醇酯PET层、聚丙烯PP层、改性聚乙烯MODPE层中的任意一种;所述中间层配置为聚苯乙烯PS层、聚氯乙烯PVC层、聚乙烯PE层、聚丙烯PP层、改性聚对苯二甲酸乙二醇酯MODPET中的任意一种;所述内层配置为聚乙烯PE层、聚丙烯PP层、改性聚对苯二甲酸乙二醇酯MODPET中的任意一种。

标签:
复合材料
江苏 - 无锡 来源:中冶有色网 2023-03-18
含金属-巯基配位键的变刚度自修复材料及其制备和应用

本发明涉及一种含金属‑巯基配位键的变刚度自修复材料,由端巯基小分子化合物,端巯基液体聚硫树脂,交联剂,锌盐,其它金属盐,碱性调节剂和溶剂组成。材料结构含有大量金属‑巯基配位键,该配位键的良好热力学稳定性,保证材料具有较大的刚性和力学强度;该配位键的良好动力学活泼性,保证了材料具有良好的自修复性能;该配位键的高度温敏性,保证了材料宽温域下的变刚度;该配位键的对水不敏感性,保证了材料的环境使用稳定性;同时,该材料具有透明性高且折射率可调的特点。本发明的含金属‑巯基配位键的变刚度自修复材料可应用于密封剂、自修复涂层、温敏变刚度自修复工程材料、增材制造、复合材料和光学透明胶粘剂等领域。

标签:
复合材料
江苏 - 无锡 来源:中冶有色网 2023-03-18
莫来石结合SiC磨料的制备方法

本发明提供了一种莫来石结合SiC磨料的制备方法,属于磨料制备及纳米复合材料领域。具体制备步骤为:将碳化硅微粉加入到乙醇水溶液中,超声搅拌1~2h;制备莫来石溶胶,将SiC微粉的乙醇水溶液加入,超声搅拌1~2h,干燥后得到莫来石包覆碳化硅颗粒;接着加入PVA混合均匀,密封静置后,进行制粒,干燥后得到均匀大小的SiC颗粒;将这些碳化硅颗粒在1200~1500℃下进行热处理2~3h,得到粒度再造的莫来石结合SiC磨料。本发明通过纳米莫来石和PVA作为添加剂,一方面解决了SiC颗粒过小而无法使用的问题;另一方面少量纳米莫来石的加入,降低了烧结温度,节约了能源。这种莫来石结合的SiC磨料,有尖锐的棱角,磨削性能优良,很好的解决了颗粒过小的SiC微粉再利用的问题。

标签:
复合材料
江苏 - 无锡 来源:中冶有色网 2023-03-18
纳米结合SiC陶瓷粉体的制备方法

本发明提供了一种纳米结合SiC陶瓷粉体的制备方法,属于无机非金属材料和纳米复合材料领域。具体制备方法的步骤为:将碳化硅微粉加入到乙醇水溶液中,超声搅拌1~2h;在上述混合溶液中配制SiO2溶胶,干燥后得到纳米包覆的碳化硅颗粒;将碳粉与处理后的碳化硅颗粒混合,机械搅拌1~2h后,加入PVA,机械搅拌1~2h,密封静置5~10h;然后将混合粉料进行制粒干燥后,在真空或保护气氛中1350~1500℃下进行热处理2~3h,冷却至室温后,在500~600℃进行无压热处理2~3h,得到粒度再造的纳米结合SiC陶瓷粉体。本发明通过加入SiO2溶胶纳米结合的方式,大大降低了烧结温度,并且粒度再造后的陶瓷粉体,纯度高、孔隙率低、使用性能优良,很好的解决了废弃碳化硅粉体在陶瓷方面再利用的问题。

标签:
复合材料
江苏 - 无锡 来源:中冶有色网 2023-03-18
上一页 512 513 514 515 516 ... 1079 下一页
共1079页    到第

中冶有色为您提供最新的江苏无锡有色金属理论与应用信息,涵盖发明专利、权利要求、说明书、技术领域、背景技术、实用新型内容及具体实施方式等有色技术内容。打造最具专业性的有色金属技术理论与应用平台!

全国热门有色金属设备推荐
展开更多 +
全国热门有色金属技术推荐
展开更多 +

 

江西省隆恩特环保设备有限公司
宣传

报名参会
更多+

报告下载

有色专家
更多+

矿冶科技集团有限公司
中国工程院院士
郑州大学
校长/党委书记
北京科技大学
主任/教授
昆明理工大学
教授
西安建筑科技大学
教授
赤泥综合利用研究报告2025
推广

热门技术
更多+

推荐企业
更多+

福建省金龙稀土股份有限公司
宣传

发布

在线客服

公众号

电话

顶部
咨询电话:
010-88793500-807